casa implantologia dentale

Implantologia dentale per tutti!

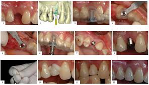
Cos’è l’implantologia dentale? – Fino a pochi anni fa l’unica possibilità per le persone edentule di riacquistare denti fissi era rappresentata dalle protesi mobili, meglio conosciute come dentiere. Ma oggi, grazie ai progressi compiuti nel campo dell’odontoiatria estetica, è possibile offrire una soluzione molto più valida ai pazienti edentuli. Questa soluzione si chiama implantologia dentale, termine con cui si indica un insieme di tecniche grazie alle quali si riconquista un sorriso sano e bello in poco tempo ed in modo indolore. Ciò avviene con l’applicazione degli impianti dentali, dispositivi inseriti nell’osso del paziente che simulano perfettamente i denti naturali.
A chi è rivolta? – L’implantologia dentale si rivolge a tutte le persone colpite da edentulismo, sia totale che parziale. Inoltre, questa metodica può rivelarsi utile anche nei casi di denti scheggiati o evidentemente danneggiati. E’ poi bene sottolineare che gli impianti possono essere applicati anche quando l’osso risulta volumetricamente insufficiente. Si pensava che tale condizione costituisse un limite per l’applicazione degli impianti, ma oggi non è così grazie ai trattamenti di rigenerazione ossea.

Quali sono le principali tecniche? – Sono essenzialmente due le tecniche di cui si avvale l’implantologia dentale. Si tratta della tecnologia a carico immediato e la tecnologia all on four. Ciò che distingue le due metodiche è principalmente la tempistica di realizzazione dell’intervento. A caratterizzare la tecnologia a carico immediato è il fatto che l’applicazione degli impianti avviene in una sola seduta. Pertanto, il paziente nell’arco di ventiquattro ore può tornare a sorridere con dei denti fissi. La tecnologia all on four, invece, prevede che gli impianti vengano caricati qualche mese dopo il loro inserimento. Questa metodica, che permette di sostituire i denti mancanti con una protesi completa, è indicata soprattutto nei casi di edentulia totale.

Perché scegliere l’implantologia dentale? – I benefici che si possono ottenere dal ricorso a questa procedura sono molteplici. In sintesi, possono essere così riassunti i principali vantaggi:
– Invasività minima dell’intervento chirurgico;
– Immediato ripristino della capacità masticatoria, senza limitazioni nell’alimentazione;
– Ritorno immediato alla normale vita quotidiana;
– Velocità dell’intervento;
– Risparmio economico, dato dal fatto che effettuare l’intervento in una o poche sedute abbatte notevolmente i costi.

La casa dell’implantologia dentale